Signed in as:
filler@godaddy.com
Signed in as:
filler@godaddy.com

Angela Post
The date is quickly approaching. Please help today.
DaysDays
HrsHours
MinsMinutes
SecsSeconds
Medical Evaluation - Spring 2025
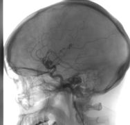
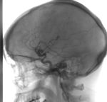
Quadriplegic Arteriovenous Malformation with Fistula
Months of research with a team of Brain Surgeons has located a surgical team in the U.S. who has assessed my case & can operate my rare brain defect.
Your gift today will achieve our goal of getting Angela the care she needs from the only hospitals in the world who can operate
on her rare brain defect.
Your generous donation will SAVE ANGELA.
#444


Follow my diagnosis journey from August 2024 when I learned about this rare disease.
#444
Angela Post's Operator for the U.S. Foundation is SG LLC
EU /UK Wire Transfers : Wise Bank Account #: BE17967105192321,
SWIFT TRWIBEB1XXX, Title Donation #444 EU/UK.
USA & Canada Wires: Wise Bank Account #: 822000187975,
Routing #: 026073150, SWIFT: CMFGUS33,
Title Donation #444 US/Canada.
In the US, thousands of people undergo successful open cranial surgery for AVMs, while the rest of the world, mainly Europe, lags far behind.
We use cookies to analyze website traffic and optimize your website experience. By accepting our use of cookies, your data will be aggregated with all other user data.
